New Patients
Existing Patients
Call Today
New Patients
Existing Patients
Call Today
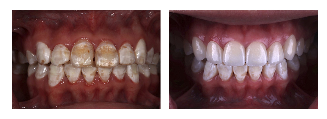
Digital Smile Design (DSD) is a technical tour de force in modern dentistry. It moves away from the "guesswork" of traditional cosmetic procedures, using sophisticated software to create a digital blueprint of a patient’s ideal smile before a single tooth is even touched.

The process begins with high-resolution photos and videos that capture how your mouth moves when you speak, laugh, and smile naturally.
Using specialized DSD software, we analyze your facial symmetry and dental proportions. This ensures your new smile harmonizes with your entire face.
A 3D model is printed based on the design. You can "wear" your new smile temporarily to see, feel, and speak with the results before starting treatment.


| Feature | Traditional | Digital Smile Design |
|---|---|---|
| Predictability | Manual wax models | High precision 3D modeling |
| Communication | Hard to visualize | Visual "test drive" first |
| Customization | Standard shapes | Fully facial-customized |







